Cosmetic Dentistry
Life is worth smiling about. If you're self-conscious about smiling because of
damaged, discolored, crooked, worn, or missing teeth, we can help.
We offer many advanced cosmetic dentistry procedures that can help you
achieve a smile you'll love to show off.
Award-winning dentist James Slaman of Albuquerque, NM, can give you a
new smile through the artistry of customized cosmetic dentistry.

The Extraordinary Benefits of Cosmetic Dentistry
Increased Self-Esteem
Do you feel embarrassed about the way your teeth look and hide them when you smile or laugh? Cosmetic dentistry at our Albuquerque dental office can ignite your confidence and help you feel great inside and out. Whether you are interested in veneers, dental bonding, or a complete makeover, we can't wait to help you achieve a bright, stunning smile your personality can shine through.
Increased Opportunity
It's no secret that cosmetic dentistry helps you feel more confident, but did you know it can actually lead to greater opportunities in life, too? People with nice teeth are often regarded as more attractive and even more intelligent. Patients can make a memorable first impression by undergoing teeth whitening or another cosmetic procedure, which can lead to greater job opportunities or relationships.
Hear From Our Patients
"It is always a pleasure going to Dr. Slamen’s office. Everyone Is so nice and professional. They show a genuine concern for you as a person. So much that I’m bringing my adult children to see him. Staff is amazing and they treat you like family. So glad to be here. They are always willing to work with you so glad I’m part of their dental group." Brenda Garcia
Restorative Dentistry vs. Cosmetic Dentistry Understanding the Difference

Restorative Dentistry
The goal of this form of dentistry is to improve the health and function of your smile. Treatments like root canal therapy and gum disease treatment fall under the restorative umbrella. While restorative dental care can improve the appearance of your smile, aesthetics aren't the primary goal.

Cosmetic Dentistry
Cosmetic care is purely focused on enhancing the appearance of your smile. Popular treatments include teeth whitening, gum contouring, and veneers. However, it's important to note that some cosmetic treatments, like dental bonding and dental crowns, can also have restorative benefits.
We Have What You Need Reach Out Today
We offer a range of cosmetic and restorative treatments at our practice in Albuquerque. Whether you have cosmetic concerns you wish to correct and conceal or structural concerns you wish to improve, we can help. If you're interested in what we can do to improve your dental health and function, feel free to reach out to us with our form or call our team at:
(505) 881-7586
Feel Confident
Committing to Care
With a Smile Preview
/
We know cosmetic dentistry can be an investment in your smile, so our Albuquerque, NM, team wants every patient to feel confident before moving forward with treatment. To help you make your decision, our office uses smile preview technology that will allow you to get an idea of the results of your treatment.
Why Choose Dr. Slaman as Your Cosmetic Dentist?
Expertise
Dr. Slaman is a highly regarded cosmetic dentist in Albuquerque, NM, where he was born, raised, and still calls home. He opened his dental care practice in "The 505" in 1992 and was named Top Cosmetic Dentist by Albuquerque The Magazine three times.High-Quality Care
When looking for a cosmetic dentist, you want someone who strives for the best. Dr. Slaman is a self-proclaimed perfectionist with extremely high standards. He regularly attends continuing education courses to provide the highest and most up-to-date dental care for his patients.Comfortable Amenities
Patients know Dr. Slaman as a caring, extremely skilled dentist who offers them warm blankets, headphones, and fresh hot coffee during every visit. Our office is carefully designed to help you feel at ease the moment you enter the door for your cosmetic appointment.Sedation Dentistry
Many patients are anxious about going to the dentist, but we don't want that to get in the way of your dream smile. Oral conscious sedation is available for those who feel nervous about dental procedures to ensure they feel relaxed and at ease during their visit with us.Plus, His Affiliations Include:
- American Academy of Implant Dentistry
- American Academy of Cosmetic Dentistry
- American Dental Association
Isn't it time you started smiling freely again? Request a cosmetic dentistry consultation with Dr. Slaman online or by phone today. He looks forward to meeting you in his beautiful Albuquerque, New Mexico, dental office.
(505) 881-7586

"I've never experienced this level of service...
I don’t think I’ve ever experienced anything like this level of service from a dentist’s office, everyone was wonderful from the front desk all the way up the chain to Dr. Slaman, I highly recommend this place and will definitely be back. It was warm and friendly, you feel like you just made new friends that will quickly be like family." Don Lovato
Does Insurance Cover Cosmetic Dentistry?
Dental insurance generally will not cover a treatment unless is it considered medically necessary. Because cosmetic dentistry is elective, it is rarely covered. However, if your cosmetic treatment has a restorative benefit, like a crown that improves the appearance and function of a tooth, you may receive coverage. Our Albuquerque practice does accept dental insurance, and our friendly staff will be happy to work with your provider to help you maximize your benefits.
Dr. Slaman realizes not everyone can afford these life-changing treatments if they are uninsured or have high out-of-pocket expenses, so he is proud to offer his qualifying patients affordable monthly financing through CareCredit® as well as convenient in-office payment plans. His warm and knowledgeable staff will happily go over all your available payment options. Now that's something to really smile about.
Cosmetic Dentistry Treatments
Our dentist, James Slaman, offers a number of customized treatments that can rejuvenate your smile.
Some can even be done in the comfort of your own home.
Teeth Whitening
Our in-office Zoom!® whitening system combines a concentrated peroxide gel with an oxidizing blue LED light to dramatically whiten tooth stains in about an hour. One Zoom! dental appointment at our Albuquerque office can result in a smile that is eight shades whiter than when you arrived. We also have at-home whitening kits that include custom-fitted dental trays you'll fill with a professional-strength peroxide gel and wear while you're sleeping. This easy-to-use treatment can significantly whiten your smile in about two weeks.
Porcelain Veneers
Veneers are thin, natural-looking porcelain shells that are attached to the front of one or more teeth to conceal dental flaws like chips, cracks, stains, and minor misalignment. When applied to a damaged tooth, this long-lasting shell instantly improves look and function. We coordinate veneer creation with a trusted dentistry lab, where a skilled dental ceramist will handcraft your veneers. Dr. Slaman is a self-proclaimed perfectionist who only uses superior-quality IPS e.max® veneers due to their amazingly lifelike appearance and durability.
Dental Bonding
Dental bonding is a conservative treatment that can conceal many of the same concerns as porcelain veneers. Like veneers, bonding can improve the size, shape, and color of individual teeth. Unlike veneers, however, Dr. Slaman does not need to reshape your teeth for treatment. He will simply apply tooth-colored composite resin directly to your teeth to conceal blemishes and minor structural flaws. In many cases, our dentist can also use bonding to build up worn teeth, helping you delay or avoid the need for full mouth reconstruction.
Gum Contouring
Excess gum tissue or a crooked gumline might make your teeth appear small and uneven. Our dentist can perform a simple cosmetic dentistry treatment called gum contouring, which uses a precisely focused laser to reshape your gumline and improve the overall look of your smile. Dental laser gum contouring is virtually pain-free, requiring little or no numbing anesthetic. It is a modern alternative to traditional gum surgery, which is performed with scalpels and stitches.
Smile Makeover
A smile makeover combines various cosmetic dental treatments to give you a smile that can boost your confidence and make you feel more attractive and youthful. Our dentist will employ all his cosmetic dentistry skills as well as the latest dental technologies, such as digital impressions and Digital Smile Preview, to customize a makeover plan based on your specific dental health needs and cosmetic goals. In some cases, we might also incorporate restorative procedures like dental implants.
Dental Crowns
While dental crowns are typically used in restorative dentistry, they have a host of cosmetic benefits as well. Dental crowns provide an extra layer of reinforcement to weakened teeth, and they can also address discoloration and help adjust tooth size for a more balanced appearance. We can use our modern CEREC® technology to craft stunning dental crowns in just one appointment at our office in Albuquerque, New Mexico.
Are You a Candidate for Cosmetic Dentistry? Request a Consultation to Find Out
Your Oral Health
Successful cosmetic dentistry must begin with a healthy smile as a foundation. If you have an outstanding oral health issue like tooth decay or gum disease, you'll need to undergo preparatory treatment before we can move on to cosmetic procedures. Thankfully, Dr. Slaman is also an experienced restorative dentist. You can receive the care you need right here at our office, expediting your treatment process.
Your Commitment to Results
Certain cosmetic treatments (like veneers and crowns) require slight but permanent alterations to your natural tooth structure. If you're hesitant to make a permanent change to your tooth structure, we encourage you to explore more temporary cosmetic options, like teeth whitening or dental bonding. These can give you an idea of what your results could look like.
Your Expectations
It's important to remember that results will vary for each patient. Before your treatment process begins, Dr. Slaman will ensure you understand exactly what your chosen cosmetic procedure can and cannot address. If you're looking to tackle more cosmetic concerns that one procedure can treat alone, consider combining treatments in a smile makeover.
Patients across New Mexico turn to Dr. James Slaman for high-quality cosmetic treatment with a personalized touch. Interested in getting started on your brand-new smile? Contact our Albuquerque, NM, office online or give us a call at:
(505) 881-7586
Request a consultation with our award-winning cosmetic dentist:
"Look no further." More Excellent Reviews For Our Practice in Albuquerque
Dr. Slaman and his staff are amazing. They are courteous and informative, I really appreciate them. Look no further, they're honest and do excellent work.
View on GoogleDr Slaman is best dentist, he is an excellent dentist, professional, caring and efficient. I recommend him to any that wants the most positive experience.
View on GoogleWill My Cosmetic Treatment Hurt? How We Keep Our Patients Comfortable
If you're worried that improving your smile will be a painful process, there's nothing to fear. Most cosmetic treatments are minimally invasive and involve very little discomfort. However, we understand that you may have sensitive teeth or a phobia of visiting the dentist in the first place. Your comfort will always be our priority, which is why we make sedation available during all procedures.
The Benefits of Dental Sedation
By undergoing oral conscious sedation, you can say goodbye to any fears or anxieties you may have had about treatment. This option induces a state of deep relaxation that can help your treatment fly by. Of course, if you choose to receive sedation, you'll have to coordinate with a friend or loved one to escort you home after your procedure.
Many patients tell us that sedation gave them peace of mind that made all the difference during their appointment. We're always happy to discuss your sedation options and the other things we can do to keep you as comfortable and relaxed as possible while in our care. Feel free to contact us online for more information.
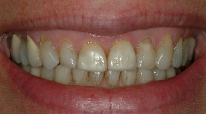
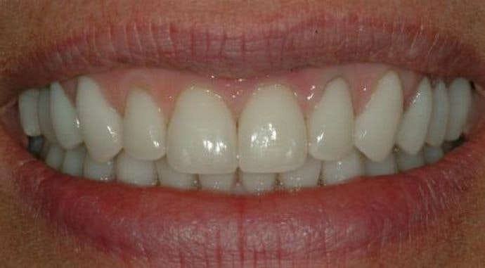
See What Cosmetic Dentistry Can Do for Patients Just Like You
"The best in Albuquerque!" More Glowing Reviews for Our Team
I had a fantastic experience at Dr. James Slaman DDS, PC office! The staff was incredibly friendly and welcoming. From the moment I walked in, I felt at ease... The procedure was virtually painless, and their attention to detail was impressive. I left with an understanding of what to expect and the confidence that I'm in good hands for my dental care. I'll definitely be returning and would highly recommend Dr. James Slaman DDS, PC to anyone in need of top-notch dedicated dental care.
View on GoogleTeam Slaman can not be beat. Friendly, kind, and always professional. Dr Slaman is a Craftsman!! You think How can a dentist possibly be a Craftsman? Well if you would have seen my busted front teeth before I met doctor Slaman would understand why I make this post. Team Slaman is the best in Albuquerque!!!
View on GoogleWhat If I'm Missing Teeth? We Can Fill in the Gaps With Dental Implants

The best of cosmetic and restorative dentistry meet in dental implants, the most reliable solution for tooth loss.
Titanium implants anchor into the jawbone to replace missing tooth roots and provide much-needed stimulation to the jaw tissue. Custom crowns, bridges, or dentures are fastened to the implants to replace teeth above the gumline.
The dental implant and the custom implant restoration work together to provide stable, lifelike results that make eating and speaking much more comfortable.
Whether you're missing one tooth or many, we have a dental implant treatment that can restore your smile in a way that looks and feels natural.
Do You Have Widespread Oral Health Concerns? Consider Full Mouth Reconstruction
A healthy smile is a beautiful smile. Sometimes patients can improve the appearance of their smile with restorative procedures that are meant to improve the functionality of their teeth and the health of their mouth. We can combine procedures into one plan that overhauls the health and beauty of your smile.
If you have a combination of concerns like gum disease, decayed teeth, and missing teeth, our team can streamline your care into one full mouth reconstruction plan that targets all your concerns at once.
"You are not going to find a better dentist." Read Our 5-Star Reviews
You are not going to find a better dentist anywhere in Albuquerque. Dr. Slaman is extremely talented!,. He’s also very proactive and vested in his patients dental health. I recommend him 100%.
View on GoogleVery clean, professional, and knowledgeable. They fixed my broken tooth and it looks and works like it was never broken.
View on Google

















