Porcelain Veneers Albuquerque
“They are perfect!.”
-Veneer Patient, 5-Star Review
- 30+ Years of Experience
- Albuquerque Roots
- 450+ 5-Star Reviews
- Comfort-First Care
Let’s Talk About Your Smile Goals Book a Veneers Consult Today
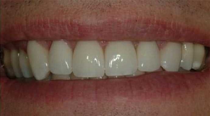
If you’ve been thinking about upgrading your smile, there’s never been a better time to explore porcelain veneers. At our Albuquerque dental office, Dr. James Slaman takes a precision-based, artistry-driven approach to help each patient achieve stunning, natural-looking results. Whether you’re looking to fix chips, close gaps, or brighten your smile, veneers can offer a fast, transformative solution with long-term benefits.
You don’t have to commit right away. We invite you to schedule a consultation to learn what’s possible, see a digital preview of your results, and get answers to all your questions in a pressure-free setting.
Call or book online today to schedule your consultation at our office in Albuquerque.
See What's Possible Helping Patients Just Like You
At our Albuquerque, NM, office, Dr. Slaman works with a highly skilled dental lab to create precisely customized veneers. In most cases, veneers can be designed, fabricated, and placed within two weeks, making them a fast and reliable solution for addressing cosmetic concerns. We have helped many patients overhaul the appearance of their smile with cosmetic dentistry — and you could be next.
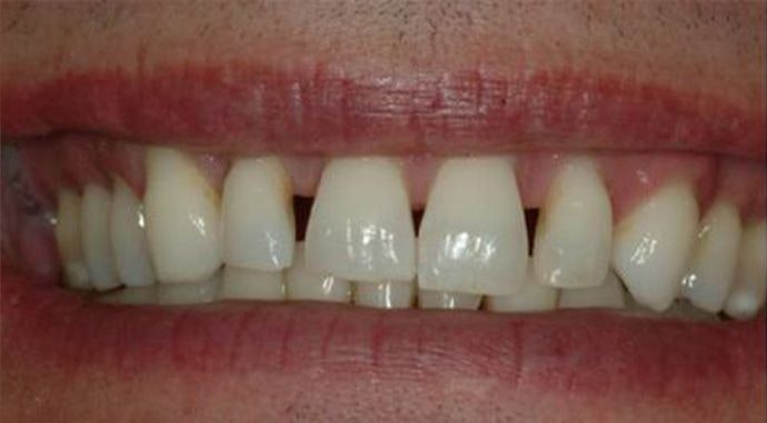
What Are Dental Veneers?

Porcelain veneers are custom-crafted restorations, designed to match the shade and fit of your surrounding teeth. However, rather than covering the entire tooth structure, a veneer covers only the front surface of the tooth. These restorations are ultra-thin for maximum comfort, but since they are fabricated from high-quality dental materials, they are also durable and long-lasting. The porcelain in dental veneers mirrors the shine of natural enamel, delivering an incredibly lifelike result. Best of all, veneers are stain-resistant and can be properly maintained with routine brushing and flossing, as well as regular checkups and cleanings.
Dr. Slaman Explains More About Veneers
Boost Your Confidence in Two Visits Request Your Consultation Today
Veneers are a highly efficient cosmetic dentistry treatment. In some cases, they can be used to resolve minor misalignment issues, allowing patients to achieve their desired results in about two weeks as opposed to several months of orthodontic treatment. In addition, the treatment can also offer a significant boost in self-confidence. Many patients who undergo treatment are far more eager to laugh and smile.
When undergoing treatment for veneers, patients come into our office and our team prepares their teeth for veneers. Then, once your custom veneers have been fabricated in a dental lab, you can return to our office where we'll bond your veneers to your teeth.
Ready to get started? Request a consultation at our Albuquerque dental office today.
(505) 881-7586
Hear From a Real Patient
Before dental treatment, this patient told Dr. Slaman, "They just have to be better; they don't have to be perfect." After she received her veneers, she says her front teeth are now perfect.
Paying for
Porcelain Veneers
/
It is important to understand that because this is an elective procedure, it does not qualify for insurance coverage. However, Dr. Slaman offers in-office 90-day financing to help you budget for this treatment. The staff at our Albuquerque office can also help you coordinate low-interest and interest-free financing through CareCredit®.
Dental Veneers Can Improve Your Teeth in Many Ways
Let dental veneers from our Albuquerque, NM, office conceal flaws like:
Chips
If you want a more permanent solution for a chipped tooth than dental bonding can provide, a veneer could be a good solution.
Cracks
Cracks in your enamel can make you feel uncomfortable when you look at your teeth.
Discoloration
Deep dental stains may not respond to teeth whitening. Veneers can conceal them, providing you with a uniform smile.
Misshapen Teeth
A misshapen tooth can throw off the symmetry of your smile.
Misalignment
You don't have to correct minor misalignment with orthodontics. Veneers can be a faster solution.
Overcrowding
Overcrowding can detract from the beauty of your smile and make oral hygiene difficult.
Gaps
Gaps between your teeth can make you feel self-conscious when smiling.
Who Is a Good Candidate for Veneers?
Good candidates for this dental procedure have:

Sufficient Enamel
Dental veneers require the removal of some tooth enamel. If for any reason you cannot afford to have enamel removed without threatening the health of your tooth, you will need to consider an alternative solution such as dental bonding.
Minor Imperfections
Porcelain veneers are designed to cover imperfections that are cosmetic in nature. In addition, an issue such as pronounced misalignment might be better treated with orthodontics.
Excellent Oral Health
A healthy foundation is essential for a long-lasting aesthetic upgrade. If you have tooth decay, gum disease, or other issues affecting your oral health, they must be resolved before receiving porcelain veneers or any other cosmetic procedure. Our team can provide you with the preparatory treatment you may need to address your oral health concerns before your cosmetic dentistry treatment.
Preview Your Results With Our Advanced Technology
Our Albuquerque practice uses the latest image simulation software to provide a preview of what your smile can look like with veneers. Our patients love seeing their potential new smiles and being able to choose treatments that match their desired results. You can preview your new smile during a consultation with Dr. Slaman.
Are Porcelain Veneers Right for You? Find Out With a Consultation
If you are interested in upgrading your smile with dental veneers, we invite you to schedule a consultation at the practice of Dr. James Slaman DDS, PC, in Albuquerque, NM, today. Our dentist is an accomplished cosmetic specialist with hundreds of positive reviews from satisfied patients.
You can request an appointment by contacting us online or calling:
(505) 881-7586

Patients Love Dr. Slaman "The best in Albuquerque!"
You are not going to find a better dentist anywhere in Albuquerque. Dr. Slaman is extremely talented!,. He’s also very proactive and vested in his patients dental health. I recommend him 100%.
View on GoogleTeam Slaman can not be beat. Friendly, kind, and always professional. Dr Slaman is a Craftsman!! You think How can a dentist possibly be a Craftsman? Well if you would have seen my busted front teeth before I met doctor Slaman would understand why I make this post. Team Slaman is the best in Albuquerque!!!
View on GooglePorcelain Veneer Treatment Timeline
When you choose our dental office in Albuquerque, NM, for veneers, you can expect your treatment to consist of several steps:
Most of our patients can receive their final restorations in as little as two weeks.
Recovery
/
Veneers have little to no recovery time compared to other treatments, so patients can continue their normal routine on the same day as their procedure. Like any dental work, the veneers may feel noticeable until your mouth adjusts to the change.
We Have Over 450 5-Star Reviews "I so appreciate this team."
Dr. Slaman and his staff are top notch. I have recommended him to coworkers and will continue to do so.
View on GoogleIncredible staff and Dr Slaman takes every step possible to save my teeth. I so appreciate this team.
View on GoogleAftercare for Porcelain Veneers
Don't Bite Down
on Hard Objects
While veneers are made to withstand the normal pressures of chewing, they are not invulnerable. Chewing on hard surfaces like ice, fingernails, and pens can place undue strain on your veneers and lead to cracks or chips. You should also avoid tearing open packages with your teeth.
Stop Using
Tobacco Products
Tobacco products can easily ruin the beautiful aesthetic of your veneers and natural teeth. They also cause a myriad of oral health issues like gum disease. If you keep using tobacco products, maintaining the health and appearance of your teeth will become expensive.
Schedule Regular
Checkups
Regular checkups are important, but they're even more essential for veneer patients who want to take particularly good care of their smiles. A normal checkup and cleaning every six months helps you maintain good oral health, and Dr. Slaman can help you fine-tune your care routine for longer-lasting veneers.
Questions About Veneers?
Reach Out to Our Knowledgeable Staff
Dr. Slaman and his team are an authority on veneers, cosmetic dentistry, and other oral health services for the Albuquerque area. We encourage you to ask questions and gain a thorough understanding of veneers and other dental procedures before making a decision.
You can discuss your concerns with Dr. Slaman during a consultation or by calling our Albuquerque office at:
(505) 881-7586

Hear From a Veneer Patient
"Because of Dr. Slaman, my teeth are beautiful! I’ve wanted veneers on my front teeth for years but because of my fear of dentists (from childhood trauma), I kept putting it off. After joining Dr. Slaman’s office for routine fillings and cleanings I decided to take the plunge. I told Dr. Slaman I wanted my front teeth to look better and I didn’t need them to be perfect. Well, guess what? They are perfect! They are beautiful! His work is impeccable. He even sent them back to the lab once because they were not up to his standards... I can finally smile with confidence which feels really good."
Lana Kiehne
Create a Smile Makeover By Combining Veneers With These Treatments

Teeth Whitening
Our trusted ceramists can match the color and shade of your veneers to the rest of your teeth. However, you probably don't want your new veneers to match any discoloration. Teeth whitening can enhance the brightness of teeth so that a new set of veneers can become a seamless part of your vibrant new smile.

Gum Contouring
While veneers can change the shape of a tooth and other cosmetic properties, they cannot affect the look of your gums. Gum contouring gently removes excess gum tissue and reshapes your gumline for a balanced smile that highlights your teeth. The procedure is relatively quick and simple.
Learn Which Treatment Is Best for You Request a Consultation With Our Experienced Dentist
As a member of the American Academy of Cosmetic Dentistry, Dr. Slaman has the necessary skills and training to exceed your expectations. Dr. Slaman will listen to your needs during a consultation and walk you through the different treatments that best suit those needs. If some of our previous dental work has caught your eye, we highly encourage you to bring in a before-and-after photo and describe what you liked about it.
You can submit a contact form or request a consultation with Dr. Slaman by calling our Albuquerque office at:
(505) 881-7586


Frequently Asked Questions
About Veneers
How many veneers should I get?
The number of veneers you should get depends on your needs and budget. Some patients may only need one veneer to cover an aesthetically flawed tooth and use other cosmetic treatments like teeth whitening to experience a beautiful smile. Others can get a full set of veneers to cover all the anterior (front) teeth that show when they smile. Dr. Slaman can help you find the best combination of treatments for your situation.
Do veneers stay white?
Veneers have naturally stain-resistant qualities and will stay brighter over time than natural enamel. Good hygiene and regular cleanings can help maintain the bright shade of your veneers and protect the underlying tooth structure as well.
Are veneers permanent?
Because veneers require permanent alteration to the tooth, once your tooth has been prepped, it will always require some kind of restoration. The veneer itself will typically last 10-15 years until it has to be replaced.
Patient Satisfaction Comes First "My whole family goes to Dr Slaman!"
Dr. Slaman and his staff are amazing. They are courteous and informative, I really appreciate them. Look no further, they're honest and do excellent work.
View on GoogleI have been a patient for more than 20 years. Great dentist! Great hygienist! Great staff! Dr. Slaman and his staff stay up on all the current techniques and tools in the field of dentistry. My whole family goes to Dr Slaman! I highly recommend him!
View on Google






