Smile Makeover
Do you avoid smiling because you are embarrassed about the appearance of your teeth? If so, a smile makeover could change your life.
At our dental practice in Albuquerque, NM, our experienced dentist can combine multiple treatments to address all your cosmetic concerns.
Find out how you can elevate your confidence through dentistry by reaching out to Dr. James Slaman, DDS, PC, today.
What Is
a Smile Makeover?
/
A smile makeover is a custom-designed treatment plan that combines multiple cosmetic procedures to fully enhance the appearance of your smile. At our Albuquerque dental office, a smile makeover can use treatments targeting your teeth and gums, like dental bonding, teeth whitening, and gum contouring.
Dr. Slaman Explains His Smile Makeover Approach

Why Combine Multiple Cosmetic Dentistry Procedures?
Our Albuquerque patients often decide to bundle together several cosmetic procedures at once. That's because a smile makeover from our team is more:
Cost-Effective
At our office, it's less expensive for you to pair cosmetic dentistry treatments in a smile makeover, as opposed to doing them over time. Not to mention, we accept CareCredit® financing, so you can make the cost more manageable.
Transformative
With a smile makeover, you have more potential to completely change your smile. It combines treatments like veneers and gum contouring to refine insecurities concerning both your teeth and your gums.
Targeted
One of the biggest advantages of a cosmetic dental makeover is that it's completely customized to your goals, smile, and budget. Our dentist will work to specifically address your concerns, like discoloration, an uneven gumline, or crooked teeth.
You Come First at Our Welcoming Dental Office
Very professional and friendly staff. Very latest in technology and procedures.
View on GoogleI have always had a great experience with Dr. Slaman and his team. They truly care about their patients dental health and everyone is so welcoming!
View on GoogleWhy Choose Dr. Slaman?
Experience
Dr. Slaman is experienced; he has been practicing dentistry in Albuquerque since 1992.
Technology
We use the most advanced dental technology to plan and execute our treatments.
Financing
Our practice accepts CareCredit financing and offers in-office payment plans to help patients afford cosmetic dentistry.
Free Consultations
Initial smile makeover consultations with our dentist are completely free of charge, with no obligations.
Comprehensive Dentistry
We complete all forms of cosmetic dentistry, so we can address any of your smile's issues.
How We Personalize Smile Makeovers to Help You Reach Your Goals
Transforming Smiles With Expert Care
Request a Consultation at Our Albuquerque Dental Practice
Cosmetic dentistry treatment is an investment in yourself. Finding the right cosmetic dentist is the first step toward your new smile.
Dr. James Slaman has been providing the patients of Albuquerque, NM, and surrounding communities with high-quality dental care since 1992. Average care is not good enough for Dr. Slaman. His pursuit of continuing education allows him to set a higher standard for what he can provide to his patients and constantly evolve to meet that high quality of care.
Coupled with state-of-the-art technology and amenities, you can rest assured our practice can provide you with expert care to achieve the beautiful smile you have always dreamed of. Request a consultation today by contacting us online, or call us at:
(505) 881-7586

Financing Options Available
Because smile makeovers are considered cosmetic, most insurance providers will not cover treatment. However, our Albuquerque dental practice accepts CareCredit and offers in-office financing plans to help patients pay for treatment. Contact us today to learn more about financing options.
Cutting-Edge Treatment From a Team That Cares
"I have gone to Dr. Slaman for more than 30 years. I recommend him highly. He is always up on the cutting edge of dental technology. His practice is very patient oriented as are all of his associates. You can't go wrong putting your trust in him." Marti Bass
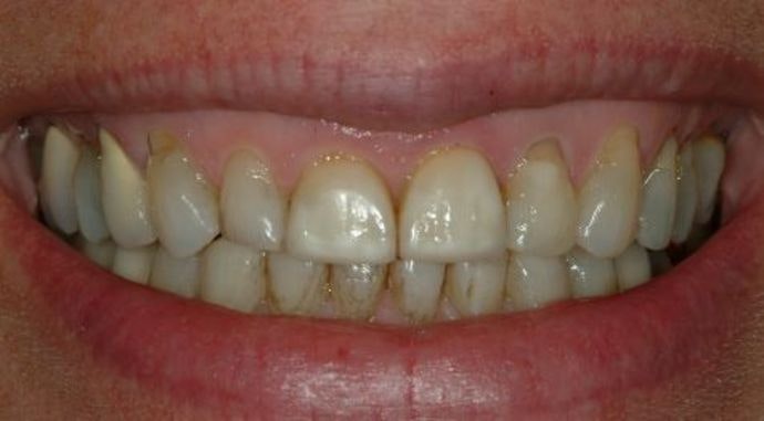
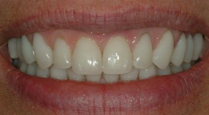
Real Smile Makeover Results Made Possible by Dr. Slaman
How Do I Know If I'm a Smile Makeover Candidate?
Strong, Well-Maintained Teeth
As any good cosmetic dentist will tell you, healthy teeth are a crucial foundation for a smile makeover. After all, you want to have the best possible foundation for treatments like dental bonding, porcelain veneers, or orthodontics.
Healthy Gum Tissue
The health of your gums is just as important as the health of your teeth. Before we can plan treatments like gum contouring, we will ensure that your gums are free from common but treatable dental conditions like gum disease.
Ineligible for a Smile Makeover?
/
Even if you're dealing with problems like missing teeth, gingivitis, or teeth grinding, you've met an Albuquerque team that can help. Our dentist is known for offering comprehensive care, including dental implants, periodontal treatment, and mouth guards. Once your oral health is under control, then he can safely begin planning your custom smile makeover.
Smile Makeover Timeline
To truly personalize your treatment, our thoughtful dentist will take great care when planning your treatment.
Albuquerque Patients Are Happy to Visit Our Office
Wonderful first appointment from beginning to end! Everyone was so kind, helpful, and informative. I am confident I am in excellent hands! A pleasure to be in this practice!
View on GoogleAbsolutely wonderful office. Drs are amazing, everything is clean and well appointed! Care and skill of everyone is top notch!! Would meet approval of the most discerning patient.
View on Google






